РЕДКОЕ СРЕДИ ОЧЕНЬ РЕДКИХ ЗАБОЛЕВАНИЙ В НМИЦ РАДИОЛОГИИ ЗНАЮТ, КАК ЛЕЧИТЬ РАК СТЕНОК СОСУДОВ
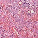
Рак эндотелия сосудов, или, как его называют специалисты, эпителиоидная гемангиоэндотелиома (ЭГЭ), очень редкое заболевание, к тому же пока неизвестного происхождения. Некоторые ученые считают, что это результат ошибки в хромосомах генома, другие видят связь с бактериями рода Bartonella, способными вызывать инфекцию стенок сосудов, обладающую онкогенным потенциалом.
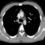
Чаще всего ЭГЭ поражает конечности (65%), но 8% «прячется» в средостении. Именно «прячется», потому что долго заболевание протекает, как правило, без каких-либо признаков, а обнаруживают его практически всегда случайно.
В отделении торакальной хирургии МНИОИ им. П.А. Герцена филиала НМИЦ радиологии Минздрава России проведено несколько успешных операций. У 56-летней пациентки диагностирована ЭГЭ правой плечеголовной вены, у 23-летнего мужчины нашли ЭГЭ непарной вены. Эти опухоли редкие среди редких, практически единичные случаи, и для их лечения нужны специалисты экстра-класса. Метод хирургического вмешательства дал положительный результат: обе операции прошли успешно, хотя и были сопряжены с большим риском нарушения кровотока.
«Операции подобного типа относятся к категории повышенной сложности. И этому есть несколько причин, рассказывает заместитель генерального директора по хирургии НМИЦ радиологии Минздрава России д.м.н. Андрей Рябов. Например, в первом случае опухоль располагалась внутри просвета самого сосуда, поэтому мы не могли сделать предварительную биопсию и провести морфологический анализ раковых клеток». Уже во время операции хирурги констатировали, что опухоль локализована в области слияния плечеголовных вен и распространилась на верхнюю полую вену и клетчатку переднего средостения.
«Сначала хирурги выполнили пробное пережатие вен. Убедившись в безопасности, пересекли плечеголовные вены, а верхнюю полую ушили специальным сосудистым швом», поясняет Андрей Рябов.
Во втором случае специалисты избавили пациента от опухоли средостения с частичным удалением непарной вены и верхней полой вены, убрали тромб и перевязали лимфатический проток.
Послеоперационный период в обоих случаях протекал без осложнений, пациенты были оставлены под динамическое наблюдение. Поскольку этот этап реабилитация не менее важен для успеха лечения, как и сама операция.





